Показания к установке цистостомы
Дренажная трубка вводиться в следующих случаях:
- Диагностирование аденомы простаты, которая увеличившись в объёме, начинает давить на мочеиспускательный канал, перекрывая пути для свободного движения мочи. Бывают случаи, что уретра сужается до таких размеров, что в неё невозможно вставить классический катетер. В этом случае в экстренном порядке проводится цистостомия.
- Если есть необходимость в длительной катетеризации у людей с активной интимной жизнью.
- При повреждении мочеиспускательного канала, такие травмы нередко характерны для тяжёлых родов.
- Во время реабилитации после определённых гинекологических, хирургических процедур.
- Когда пациенту прописана регулярная катетеризация, которая может нанести различные повреждения и поспособствовать занесению инфекции. Чтобы исключить такие риски, больному устанавливается цистостома.
- В период терапии сложных заболеваний мочеполовой системы, которые имеют бактериологический характер, включая гангрену мошонки, простатит вызванный бактериями.
- Операции на уретре или половом члене.
- При диагностировании доброкачественной гиперплазии предстательной железы.
- При патологиях проходимости шейки мочевого пузыря.
Нередко цистостомия требуется при нарушениях иннервации МП после инсульта, нейрогенной дисфункции органа, повреждения спинного или головного мозга. Также трубка устанавливается людям и с психиатрическими диагнозами, которые не способны самостоятельно контролировать процесс опорожнения.
Также процедура проводиться при диагностировании новообразований в области мочевого пузыря, которые за счёт передавливания элементов органа вызывают сужение просвета, что становится причиной проблем с мочеиспусканием. Цистостома устанавливается при гнойных процессах в мочеточнике и МП для того чтобы провести промывание. Дренаж используется при закупорке уретру конкрементами или другим инородным телом.
Как лечить?
Лечение свища в домашних условиях не принесет положительного результата, так как он поддается только хирургическому излечению в условиях стерильности. Оперативное вмешательство проводится поэтапно в таком порядке:
В ходе оперативного вмешательства животному устанавливается дренажная трубка.
- Разрезав рану и добравшись до места, где она берет начало, хирург высекает скальпелем отмершие ткани. Воспаленный очаг убирают полностью, чтобы предупредить рецидив.
- Недалеко от свища устанавливают дренаж, чтобы жидкость вытекала через него.
- Врач чистит канал, промывает его антибактериальными растворами.
- Каждый день свищ промывают и накладывают повязки с антибиотиками в форме мазей. Если отверстие существует уже достаточно давно, тогда для результативного заживления канал сшивают.
Симптомы инфекции в ране
Основными симптомами инфицирования являются покраснение, припухлость, болезненность, повышение температуры мягких тканей в области раны и повреждения.
Размножение в ране болезнетворных бактерий формирует незамедлительную ответную воспалительную реакцию. Чем серьезнее проблема – тем сильнее организм старается оградить себя от нее. Поэтому реакция может развиваться на большей площади, нежели участок раны и повреждения. Все это сопровождается симптомами общей интоксикации: температура, тошнота, озноб, слабость.
Следует помнить, что острый ответ организма на попадание патогена не всегда протекает одинаково. Далее выделим ключевых опасных микробов, в отношении которых организм реагирует в каждом случае достаточно специфично:
- При стрептококковой инфекции образуется достаточно жидкий гной.
- При стафилококковой инфекции – края раны начинают интенсивно отмирать (некроз тканей). Гной в данном случае густой, сметанообразной консистенции.
- Синегнойная и кишечная палочки вызывают массовую гибель тканей с образованием густого специфически пахнущего гноя зеленоватого цвета.
- Под действием грамотрицательной флоры и кишечных анаэробов образуется обильное гнойное отделяемое с примесью крови и зловонным запахом, иногда мутноватого оттенка.
Первые признаки гнойного воспаления возникают через 2-3 дня после оперативного вмешательства или ранения. Если пациент получает антибактериальную терапию, то первые симптомы могут возникнуть через 4-6 дней.
Важно! После получения раны вне дома лучше перестраховаться и сделать противостолбнячную вакцину. К сожалению, запущенная форма столбняка в 40-45% случаев связана с летальным исходом
Далее гнойный процесс имеет несколько этапов прогрессирования. Со временем образуется абсцесс – гнойный очаг, отграниченный капсулой из соединительной ткани. Формирование абсцесса предотвращает распространение инфекции на здоровые ткани и проникновение патогенов в кровяное русло.
Флегмона, или разлитой гнойно-воспалительный процесс, распространяется по рыхлым клетчаточным пространствам за пределы раны. При проникновении патогена в кровоток развивается бактериемия и сепсис (общее инфекционное заражение организма).
Осложнение во время процедуры
Цистостомия может сопровождаться следующими осложнениями:
- повышенная чувствительность и болевые ощущения в районе установки трубки;
- нагноение и инфицирование в области внедрения устройства;
- воспалительные процессы в мочевом пузыре;
- аллергические реакции;
- травмирование кровеносных сосудов;
- развитие цистита;
- кровотечения;
- повреждение некоторых кишечных сегментов;
- развитие острого пиелонефрита, простатита.
Чтобы избежать негативных последствий, важно обращаться за помощью к квалифицированным, опытным специалистам и тщательно следить за своим здоровьем, выполняя все предписания врача.
Чем опасно заболевание? Осложнения
Болезнь Крона опасна своими осложнениями (рис. 1), среди которых:
- Утолщение стенки кишки, и как следствие, сужение кишечника (сужение части кишечника вследствие воспаления и формирования рубцовой ткани). Часто затрудняет прохождение каловых масс. В тяжелых случаях может возникнуть кишечная непроходимость, которая проявляется болями и вздутием живота, тошнотой и рвотой. В дальнейшем стриктура может перейти в стеноз — полное закрытие просвета кишки.
- Трещина анального канала — трещина слизистой оболочки кишки, которая может вызывать боль и кровотечение.
- Перфорация кишки — сквозной дефект, который образуется в стенке кишки вследствие воспаления, трещины, язвы. Через данное отверстие в брюшную полость просачивается кишечное содержимое, что приводит к развитию перитонита — состояния, требующего немедленной операции.
- Свищ — образуется, когда в результате воспаления формируется сквозной канал между кишкой и рядом расположенным органом или кожей, через который выделяется кишечное содержимое в другой орган или наружу.
- Абсцесс — ограниченное гнойное воспаление, который может располагаться около стенки кишки, в брюшной полости, в тканях в области прямой кишки.
- Рак — риск развития колоректального рака у лиц с воспалительными заболеваниями кишечника зависит от длительности болезни и от ее распространения в толстой кишке. Для диагностики рака толстой кишки выполняют колоноскопию с биопсией.
Болезнь Крона при беременности
По данным исследований, влияние болезни Крона на течение и исход беременности определяется активностью заболевания в момент зачатия и в период беременности.
Среди осложнений встречаются преждевременные роды, выкидыши, нарушения развития плода. Считается, что при высокой активности болезни Крона процент неосложненных беременностей составляет лишь 54%, в то время как при неактивном заболевании — 80%. Так, в активной фазе заболевания риск преждевременных родов увеличивается в 3,5 раза, самопроизвольных выкидышей — в 2 раза. При этом заболевании чаще производится искусственное прерывание беременности и кесарево сечение.
Что касается влияния самой беременности на течение болезни Крона, стоит отметить, что когда на момент наступления беременности заболевание находится в стадии ремиссии, то в 2/3 случаев ремиссия сохраняется и во время беременности. Частота развития обострений не отличается от небеременных пациенток. Обострения чаще развиваются в I триместре беременности, после абортов и после родов. Также рецидивы часто возникают в результате отказа женщин от приема лекарств при наступлении беременности.
Часто задаваемые вопросы
Как вести себя после операции?
После операции Вы будете находиться в стационаре от 1 до 5 суток, в зависимости от сложности перенесённой операции. Вам будет назначена, при необходимости, антибактериальная терапия, выполняться перевязки с ранозаживляющими мазями. После операции может потребоваться задержка стула для заживления раны.
Ваш лечащий врач обучит Вас уходу за раной и эти рекомендации крайне важно соблюдать неукоснительно. Одной из важных рекомендаций является орошение раны струей воды 3-4 раза в день с целью механической ее очистки и периодический врачебный контроль правильного заживления в направлении «от дна раны»
После обучения, как правило, перевязки Вы сможете выполнять самостоятельно в домашних условиях.
Какие могут быть осложнения после операции?
В настоящее время при наличии стандартизированной техники и комплексного подхода в диагностике и лечении прямокишечных свищей неприятные последствия сводятся к минимуму. Однако следует отметить, что риск развития осложнений всегда существует.
К наиболее грозному осложнению после оперативных вмешательств по поводу прямокишечных свищей относят развитие анального недержания. Риск его возникновения особенно высок при выполнении повторных вмешательств, когда анатомия значительно изменена, а функция держания может быть исходно скомпрометирована. Стоит отметить, что при выполнении операций опытным специалистом, выполняющим данный вид вмешательств на постоянной основе, риск недержания практически отсутствует.
Помимо этого, возможно развитие кровотечения, как в ранний послеоперационный период, так и через несколько дней после выполненного оперативного вмешательства. Характер и тяжесть осложнения определяются только после осмотра. Остановка кровотечения, как правило, возможна в условиях перевязочной. В отдельных случаях может потребоваться повторная операция.
Кроме того, при лечении сложных и рецидивных свищей из-за выраженных рубцовых изменений возможно расхождение швов, фиксирующих слизисто-мышечный лоскут, что ведет к возникновению воспаления в ране и требует повторных вмешательств.
Что делать при наличии сопутствующего заболевания анального канала?
Выполнение вмешательства, направленного на лечение сразу нескольких заболеваний должно проводиться в специализированном учреждении, так как может привести к увеличению операционной травмы, усилению болевого синдрома.
Приобретенная
Приобретенный свищ у кошки под хвостом является очень серьезным заболеванием, которое может привести к летальному исходу питомца. Заметить появление канала легко, немного затрудняет тот факт, если животное может свободно гулять на улице. В этом случае его можно спутать с обычной раной.
Основное отличие такого канала от врожденного состоит в особенности строения. У врожденной патологии канал состоит из здоровой ткани, оно розоватого цвета. У приобретенного недуга ткань имеет болезненный вид
- Такой недуг может возникнуть из-за проникающего ранения, в результате чего были инфицированы ткани.
- Второй причиной является обломок кости, который порвал мягкие ткани при переломе конечности.
- Во втором варианте рана затягивается самостоятельно, так как при травмировании не занесена инфекция.
- Однако в любом случае при обнаружении такого канала необходимо обратиться за помощью к квалифицированному специалисту.
Диагностика
Влагалищное исследование
После констатации факта непроизвольной потери мочи на основании жалоб больной и тщательной оценки анамнеза выполняется влагалищное исследование.
Рисунок 4.

При осмотре в зеркалах отмечается достаточно быстрое заполнение полости влагалища свободной жидкостью (мочой). В сомнительных случаях нужно помнить о возможности биохимического исследования влагалищного транссудата. Определяется уровень креатинина, полученной из влагалища жидкости и сравнивается с уровнем сывороточного креатинина. Если уровень креатинина во влагалищной жидкости значительно превышает сывороточный, это подтверждает наличие мочеполового свища и жидкость является мочой. Влагалищное исследование позволяет оценить размеры и локализацию свища, подвижность передней стенки влагалища, степень перифокального отека и воспаления слизистой влагалища. При свищах больших размеров диагностика не представляет затруднений на основании «осмотра в зеркалах». При свищах небольшого диаметра и незначительном подтекании мочи показано проведение «красящей» пробы. В мочевой пузырь вводят 200 мл физиологического раствора с добавлением одной ампулы – 5 мл 0,4% индигокармина. Влагалище по всей длине рыхло тампонируют, пациентку просят походить в течение 10-15 минут. Если окрашивается самый нижний тампон, то наиболее вероятный диагноз – стрессовое недержание мочи. Окрашивание верхних тампонов предполагает наличие пузырно-влагалищного свища. Если имеется мочеточниково-влагалищный свищ, то промокает, но не окрашивается внутренний тампон.
Рисунок 5.
На рисунке 5. представлена проба с индигокармином и тампонированием влагалища.
Лабораторные исследования
Сопутствующая инфекция мочевых путей выявляется при микроскопии осадка мочи и посеве. Для оценки суммарной функции почек показано биохимическое исследование крови с определением уровня мочевины, креатинина, электролитов.
Внутривенная урография
Рентгенологическое исследование позволяет выявить обструкцию мочеточников и мочеточниково-влагалищные свищи. При комбинированных пузырно-мочеточниково-влагалищных свищах определяется «стаз» контраста в расширенном мочеточнике, гидронефроз или экстравазация контрастного препарата в области дистального отдела мочеточника.
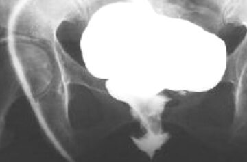
Цистография
При наличии пузырно-влагалищного свища определяется «вытекание» контрастного препарата через свищ за пределы мочевого пузыря при его ретроградном заполнении.
Рисунок 6.
Рисунок 6. цистограмма – экстравазация контрастного раствора из мочевого пузыря во влагалище через пузырно-влагалищный свищ.
Не менее ценным методом обследования является контрастная вагинография (Кан Д.В., Годунов Б.Н. 1988). Во влагалище вводится катетер Фолея с большим объёмом баллона (ранее применялся обтуратор Годунова Б.Н.). Больной придают положение Тренделенбурга, вводя по катетеру 150-200 мл контрастного вещества, которое проникает через свищ в мочевой пузырь. Ретроградное заполнение мочеточника и полостной системы почки при вагинографии указывает на наличие мочеточниково-влагалищного свища
Цистоскопия
Цистоскопия позволяет определить расположение и количество свищей, их отношение к устьям мочеточников и треугольнику Льето, состояние тканей в окружности фистулы. Большинство пузырно-влагалищных свищей связанных с гистерэктомией локализуются сразу за межмочеточниковой складкой. Проводить цистоскопию нужно с предварительным тампонированием влагалища для предупреждения вытекания мочи. Отверстие свища представляется в виде кратерообразного втяжения с наличием складчатости. При свищах больших размеров во время цистоскопии виден тампон, введенный во влагалище.
Рисунок 7.
На рисунке 7. стрелкой указано свищевое отверстие.
Желательно выполнять цистоскопию у больных с мочеполовыми свищами под внутривенной анестезией.
Ретроградная уретеропиелография
Ретроградная уретеропиелография является наиболее точным методом выявления мочеточниково-влагалищных свищей. Ретроградная уретеропиелографию необходимо делать тогда, когда результаты внутривенной урографии сомнительны или локализация свища остается не определенной. В ряде случаев ретроградная уретеропиелография выполняется с обеих сторон для исключения двустороннего повреждения мочеточников.
Рисунок 8.
На рисунке 8. представлена ретроградная уретеропиелография. Стрелкой указана область повреждения правого мочеточника.
Другие заболевания из группы Болезни органов дыхания:
| Агенезия и Аплазия |
| Актиномикоз |
| Альвеококкоз |
| Альвеолярный протеиноз легких |
| Амебиаз |
| Артериальная легочная гипертония |
| Аскаридоз |
| Аспергиллез |
| Бензиновая пневмония |
| Бластомикоз североамериканский |
| Бронхиальная Астма |
| Бронхиальная астма у ребенка |
| Бронхогенные кисты легкого |
| Бронхоэктатическая болезнь |
| Врожденная долевая эмфизема |
| Гамартома |
| Гидроторакс |
| Гистоплазмоз |
| Гранулематоз вегенера |
| Гуморальные формы иммунологической недостаточности |
| Добавочное легкое |
| Ехинококкоз |
| Идиопатический Гемосидероз легких |
| Идиопатический фиброзирующий альвеолит |
| Инфильтративный туберкулез легких |
| Кавернозный туберкулез легких |
| Кандидоз |
| Кандидоз легких (легочный кандидоз) |
| Кистонозная Гипоплазия |
| Кокцидиоилоз |
| Комбинированные формы иммунологической недостаточности |
| Кониотуберкулез |
| Криптококкоз |
| Ларингит |
| Легочный эозинофильный инфильтрат |
| Лейомиоматоз |
| Муковисцидоз |
| Мукороз |
| Нокардиоз (атипичный актиномикоз) |
| Обратное расположение легких |
| остеопластическая трахеобронхопатия |
| Острая пневмония |
| Острые респираторные заболевания |
| Острый абсцесс и гангрена легких |
| Острый бронхит |
| Острый милиарный туберкулез легких |
| Острый назофарингит (насморк) |
| Острый обструктивный ларингит (круп) |
| Острый тонзиллит (ангина) |
| Очаговый туберкулез легких |
| Парагонимоз |
| Первичный бронхолегочный амилоидоз |
| Первичный туберкулезный комплекс |
| Плевриты |
| Пневмокониозы |
| Пневмосклероз |
| Пневмоцитоз |
| Подострый диссеминированный туберкулез легких |
| поражение газами промышленного происхождения |
| Поражение легких вследствие побочного действия лекарственных препаратов |
| поражение легких при диффузных болезнях соединительной ткани |
| Поражение легких при болезнях крови |
| Поражение легких при гистиоцитозе |
| Поражение легких при дефеците а 1- антитрипсина |
| поражение легких при лимфогранулематозе |
| Поражение легких при синдроме марфана |
| Поражение легких при синдроме Стивенса-Джононса |
| Поражения легких отравляющими веществами |
| Пороки развития легких |
| Простая Гипоплазия |
| Радиационные поражения легких |
| Рецидивирующий бронхит у детей |
| Саркаидоз органов дыхания |
| Секвестрация легкого |
| Синдром гудпасчера |
| Синдром Маклеода |
| Синдром Мендельсона |
| Синусит |
| Спонтанный пневмоторакс |
| Споротрихоз |
| Стафилококковые деструкции легких у детей |
| Стенозы и трахеи крупных бронхов |
| Стенозы и трахеи крупных бронхов |
| Стрептококковый фарингит |
| Сфеноидальный синусит (сфеноидит) |
| Токсоплазмоз |
| Трахеальный бронх |
| Трахеит |
| Трахеобронхомегалия |
| Тромбоэмболия легочной артерии (ТЭЛА) |
| Туберкулез внутригрудных лимфатических узлов (бронхоадениты) |
| Туберкулез бронхов, трахеи, верхних дыхательных путей |
| Туберкулез гортани |
| Туберкулез легких |
| Туберкулез полости рта, миндалин и языка |
| Туберкулезная интоксикация у детей и подростков |
| Туберкулезный плеврит |
| Туберкулема легких |
| Фарингит |
| Фиброзно-кавернозный туберкулез |
| Фронтит (острый фронтальный синусит) |
| Хроническая пневмония |
| Хроническая пневмония у детей |
| Хронический абсцесс легких |
| Хронический бронхит |
| Хронический гематогенно-диссеминированный туберкулез легких |
| Хроническое легочное сердце |
| Цирротический туберкулез легких |
| Шистосомозы |
| Экзогенный аллергический альвеолит |
| Эмфизема легких |
| Эпиглоттит |
| Этмоидальный синусит (этмоидит) |
Рекомендации
Наиболее редкой причиной возникновения этой патологии может быть неправильное самостоятельное лечение от воспалительных процессов. Больше всего этому подвержены коты и кошки, которые имеют постоянный доступ к улице и проводят там много времени.
Из-за этого в последствии может развиться приобретенный свищ, который представляет собой серьезную угрозу жизни и здоровья для питомца. Именно поэтому не рекомендуется заниматься самолечением даже в том случае, если хозяин уверен, что у питомца обычная, средняя по размерам царапина из-за драки с другими уличными котами и кошками.
Однако не всегда есть возможность обратиться за специализированной помощью, например в селах и поселках может не быть ветеринарного врача, и помощь необходимо оказывать самостоятельно.
Следует придерживаться нескольких правил, которые помогут снизить риск попадания инфекции в организм:
- Перед обработкой раны необходимо продезинфицировать руки по локоть
- После этого на руки необходимо надеть стерильные медицинские перчатки
- Подготовить антисептики для обработки раны питомца, также ватные диски и марлевую повязку
Обрабатывать необходимо строго после дезинфекции рук и в стерильных медицинских перчатках, которые должны храниться в аптечке. Такая первая помощь позволит довести питомца до ближайшей клиники, где ему окажут уже профессиональную помощь и устранят недуг.
Почему Вы выбираете нас?
Входящая в состав ПМГМУ им. И. М. Сеченова Клиника колопроктологии и малоинвазивной хирургии — это образец медицины нового поколения, гармонично сочетающий глубочайшие фундаментальные знания, отточенные навыки, современный мультидисциплинарный подход и внимательное отношение к любой категории пациентов.
ККМХ — гарант того, что выполненные в наших стенах оперативные вмешательства соответствуют самым актуальным представлениям о колоректальной хирургии. Это и собственное отделение анестезиологии-реанимации, сотрудники которого обеспечивают гладкое течение операции и раннего послеоперационного периода, занимаются лечением тяжелых пациентов. Это «открытая реанимация», где Вы можете не только узнать наиболее полную информацию о состоянии близкого человека, но и находиться рядом с ним в нелегкое для него время.
Двери нашей Клиники открыты для пациентов, которым было отказано в лечении в других стационарах вследствие сложности хирургического вмешательства или запущенности процесса. Пожилые пациенты, пациенты с «букетом» сопутствующих заболеваний (так называемые коморбидные) — сфера нашего особого интереса. Наличие в стационаре таких высокопрофессиональных специалистов, как кардиолог, пульмонолог, уролог и пр. позволяют проводить лечение пациентов любого возраста и с любыми сопутствующими заболеваниями.
Отличие свища от абсцесса
Данное заболевание можно перепутать с гнойным воспалением, но у них существуют заметные отличия, о которых необходимо знать.
Признаки абсцесса:
- в начале созревания это плотный, горячий, болезненный отёк;
- имеет округлую форму без ответвлений;
- созревая, становится мягкой, рыхлой консистенции;
- вскрывшийся абсцесс имеет круглую форму с ровными краями, выделяются гной и небольшое количество сукровицы;
- заживает быстро.
Признаки свища:
- на теле обнаружено одно или несколько сквозных отверстий;
- внешне он похож на разветвлённую воронку;
- при вскрытии выделяется не только гной, но и другие продукты жизнедеятельности (кровь, фекалии, моча и проч.);
- не заживает самостоятельно в течение длительного времени;
- шерсть вокруг ранки отсутствует, ткани воспалены;
- неприятный запах.
Хозяин и сам может отличить при детальном рассмотрении нарыв от фистулы. При абсцессе возможно использование антибактериальной мази. Однако в случае свища любые антисептические средства могут только навредить, поскольку первоначально необходимо очистить поражённые участки.
Если возникли сомнения, то для более точной диагностики заболевания животное необходимо показать ветеринару. Он опытным взглядом определит природу поражения и назначит лечение.
Важно! Не стоит трогать ранку и пытаться прорвать фистул. В противном случае инфекция из неё может распространиться и на другие, здоровые, ткани
Как жить с болезнью Крона?
Однозначно, болезнь Крона ухудшает качество жизни больных. Во многом это зависит от периода заболевания (рецидив или ремиссия), степени активности болезни, наличия осложнений. В момент обострения постоянные боли и диарея почти не дают возможности нормальной жизнедеятельности. Однако в стадии ремиссии болезнь почти не проявляет себя. Тщательно соблюдая прописанное врачом лечение, диету и меры профилактики, пациент получает все шансы максимально продлить период ремиссии, хотя лечиться, вероятно, придется всю жизнь.
Справиться с физиологическими неудобствами болезни Крона сложно, но вот несколько советов:
- Пейте больше воды. Это поможет справиться с обезвоживанием.
- Носите свободную одежду, которая не будет сдавливать ваше тело и доставлять неудобств.
- Чаще отдыхайте. Сон поможет восстановить силы и почувствовать себя лучше.
- Используйте грелку, чтобы успокоить боли в животе.
- Употребляйте пробиотики по назначению врача, чтобы восстановить микрофлору кишечника.
Для многих людей болезнь Крона это не только проблемы со здоровьем, но и моральные трудности.
Диарея, боль, прием лекарств, частые визиты к врачу, угроза осложнений — все это не может пройти бесследно для нервов человека. Чтобы справиться со стрессом и легче переносить обострения, люди пробуют самые разные методы, и вот некоторые из них:
- Ведение дневника. В личных записях можно выплеснуть все свои негативные эмоции, возможно, это поможет спокойнее переносить болезнь и справиться со стрессом.
- Медитации — отличный способ успокоиться. Если трудно выполнять классические медитации, можно попробовать управляемую медитацию или различные дыхательные практики, чтобы расслабиться.
- Легкие физические нагрузки и йога. Если состояние позволяет, можно отправиться на короткую прогулку и подышать свежим воздухом. Для тех, кому трудно встать с кровати, может подойти йога в постели (видео 1) — легкие и приятные упражнения.
- Успокаивающий чай с ромашкой, крапивой, мелиссой, мятой — при отсутствии противопоказаний.
- Просмотр любимых фильмов или сериалов помогает не усугублять стресс от болезни, и получить заряд приятных эмоций.
Обострение болезни может быть очень неприятным и подавляющим, но главное помнить, что это временно.

Общая информация
Название происходит от латинских эквивалентов «osteon» и «myelos», что означает «кость» и «костный мозг» соответственно. Окончание «ит» подразумевает воспаление.
Код по МКБ 10: M86
Согласно статистическим данным, остеомиелит занимает третье место среди заболеваний опорно-двигательного аппарата после травматического повреждения и оперативных вмешательств. На его долю приходится 6-7% пациентов.
Преимущественно поражаются бедро, плечо, голень, позвоночный столб, челюсти.
Патология диагностируется чаще у молодых мужчин, детей и пенсионеров. Женщины страдают редко.



